사랑니 쪽 잇몸이 붓고 염증이 생기셨나요? 살이 단단해지고 아픈 것만으로도 제대로 씹지도 못하고 냄새도 나서 일상생활에서 불편함이 많으셨죠? 그렇다고 사랑니를 뽑기엔 두려움이 앞서 치과로 발걸음이 잘 떨어지지 않더라고요. 이번 포스팅에서는 사랑니 발치 후기 및 주의사항의 모든 것에 대해 알아보도록 하겠습니다.

저도 마찬가지였습니다. 하지만 아래쪽 사랑니 두 개를 1주일 간격으로 모두 발치하니 얼마나 개운한지요. 그래서 사랑니 발치 후 경험을 제대로 알려드리고자 이번 포스팅을 계획하게 되었습니다. 하단의 글에서는 사랑니 발치 후기 식사 양치 통증 붓기 등 주의사항에 대해 최대한 경험을 살려 자세하게 알려드릴 테니 많은 도움이 되셨으면 좋겠습니다.
1. 사랑니 발치 후기
2. 발치 후 주의사항
- 약 복용 등 / 식사 / 양치 /
통증 / 붓기 / 비용
1. 사랑니 발치 후기
붓고 염증나고 아프고 치열이 틀어지기 전에 미리미리 발치하세요
정확히 한 달 전인 23년 2월 13일 사랑니 발치를 하러 사랑니 전문 치과에 방문했습니다. 처음부터 발치할 계획은 없었으나 치과에 간 이유는 좌측 아래쪽 사랑니 때문에 잇몸이 붓고 도저히 음식을 씹을 수가 없었기 때문입니다. 이전에도 이랬다가 하루정도만에 괜찮아졌던 적이 있었는데 점점 통증이 찾아오는 주기가 잦아드는 것 같아 이참에 발치하기로 마음먹었습니다. 다행히 사랑니 당일 발치가 가능한 치과를 찾아 예약을 하고 찾아갔습니다.
서울사랑니치과 : 네이버 블로그
서울대 치대 출신 구강외과 전문의 대표원장. 사랑니 발치 전문 치과 서울사랑니치과 입니다. 02-6925-0552 또는 카카오톡 '서울사랑니치과'로 문의주세요. ➊ 종각역 1번 출구에서 230m / ➎ 광화문
blog.naver.com
또한 최근 들어 아래 앞니의 치열이 조금 뒤쪽으로 돌아간 것같이 느껴졌는데 아무래도 사랑니가 움직이면서 이빨의 간격을 좁히는 것 같더라고요. 치열이 틀어지는 것보다는 빨리 발치하는 게 건강에도 좋을 것이라고 생각했습니다.
발치 과정 : "엑스레이 + CT촬영" > 마취 > 간단한 스케일링 > 수술 안내 및 서약 > 발치
사실 발치과정 자체는 간단합니다. 위의 순서대로 진행하고 저의 경우 모든 시간을 다 합쳐서 1시간이 채 걸리지 않았던 것 같습니다. 사랑니를 뽑는 시간만 본다면 5분 정도였습니다. 마취 후 누워서 입을 벌리면 세게 힘을 줘서 몇 번 흔들고 누르시더니 다 됐다고 해서 놀랐었게 기억납니다.

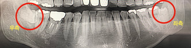
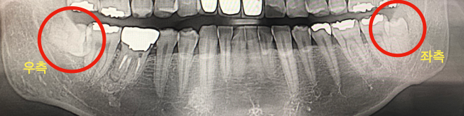
저희 경우에는 사랑니가 아랫니에만 두 개 있었고 좌측은 일반, 우측은 수평 매복이었습니다. 엑스레이랑 CT를 찍은 후 결과를 보시더니 여기에서 충분히 발치가 가능한 경우라며 바로 발치를 하겠느냐고 물어보시더라고요. 어차피 계속 아플 거면 한번 아프자 하고 바로 원한다고 했더니 정말 빠르게! 발치를 해 주셨습니다.



1주일 간격으로 두 개의 사랑니를 모두 발치했는데요. 발치 후 통증과 붓기 등 회복속도는 두 개가 현저하게 다르더라고요. 아래 주의사항에서는 두 경우에 대해 제 경험을 자세하게 알려드리겠습니다.
2. 발치 후 주의사항
아래 주의사항에는 저의 경험담이 자세하게 적혀있습니다. 이제 막 사랑니 발치를 계획하고 계신 분들이시라면 꼼꼼히 읽어보시고 준비하시길 바랍니다.
약 복용 등 : 약은 꼭 끝까지 복용하기
- 치과에서 물려주는 거즈는 꼭 2시간 이상 물고 있기
거즈는 상처를 압박하여 출혈을 멈추게 하기 위해 꼭 2시간은 물고 있어야 합니다. 초기에 압박이 잘되어 피가 멈춘 상처는 그 자체로 잘 붙어서 피떡이 지지 않지만 출혈을 동반한 상처는 피떡이 생기고 피떡은 양치나 식사로 인해 떨어져 재 출혈을 유발할 수 있어 턱이 아프더라도 지그시 누른다는 느낌으로 물고 있어야 합니다.


2시간 이후에도 피가 입안에 고일정도로 출혈이 계속 발생한다면 발치한 병원에 문의하거나 응급실에 방문해야 한다는 것 잊지 마세요.
- 하루동안 침 삼키기 / 빨대 사용 금지 / 금연
침을 뱉는다던가, 입을 벌리기가 힘들다고 빨대를 사용한다던가, 담배를 빠는 등의 행동은 입안의 압력이 작용하고 이는 상대적으로 약한 상처가 벌어지게 해서 회복을 더디게 만들므로 위의 행동은 삼가는 것이 회복에 좋습니다.



- 받아온 약(항생제 포함)은 통증이 없더라도 꼭 금요일까지 먹기
약은 꼭 5일 치 모두 복용하는 것이 좋습니다. 사랑니 발치는 시술이 아닌 수술로 분류됩니다. 입안에 살을 찢고 아래턱뼈에 붙어있는 사랑니를 뿌리째 뽑아내는 것으로 염증이나 상처가 덧나기 쉽습니다. 또한 입안에는 다양한 세균에 노출되어 있어 상처에 오염될 확률도 높습니다. 따라서 항생제는 우리 몸에 침투한 세균을 효과적으로 치료하는데 도움을 주기 때문에 반드시 복용해야 합니다.



- 약을 먹을 동안 술은 자제할 것. 꼭 술을 마셔야 한다면 약을 건너뛰기
약 복용 시에는 금주하시긴 권합니다. 하지만 꼭, 반드시 마셔야 한다면 항생제는 복용하지 않고 술을 드시길 바랍니다. 하지만 이 방법은 사랑니를 발치하는 대부분의 환자들이 20~30대라는 전제하에 가능합니다. 20~30대는 생애주기에서 면역력이 최상으로 가장 좋을 때기 때문에 특별한 건강상 문제가 아니라면 하루정도 술을 마셔도 99% 이상 정상 회복한다고 합니다. 하지만 40~50대는 다릅니다. 회복속도가 현격하게 낮아지고 숙취까지 이어진다면 회복은 더디고 오히려 덧날 가능성이 있으므로 주의하셔야 합니다.



식사 : 발치 후 2일까지는 부드러운 것으로 섭취하세요
- 당일 + 다음날까지는 죽으로 식사를 권장
부드러운 죽을 먹어야 하는 이유는 설명드리지 않아도 아시겠죠?



- 당분간 한쪽으로만 먹어야 하기에 볼 쪽 입안이 델 수 있으니 주의
특히 직장인 중 밥 먹는 속도를 맞추기 위해 빨리 먹으려고 하면 100% 입안을 데니 미리 얘기하고 따로 먹거나 천천히 먹어야 함. 발치한 쪽으로는 씹지 말고 반대편으로만 씹어야 함.
- 일주일 후 실밥을 뽑는데 이때부터는 발치한 쪽으로도 식사가 가능
하지만 씹을 때 이빨의 느낌은 원래의 70% 정도이고 차가운 물을 마시면 많이 시릴 수 있습니다.
- 발치한 부위의 잇몸이 쑥 들어가 있어서 그곳으로 음식물이 끼지 않도록 관리 필요
실밥을 뽑고 나서 약국에 들러 주사기를 구입해서 바늘은 버리고 주사기의 뭉뚝한 끝부분을 입안 끝쪽 구멍 부분에 대고 물을 분사하면 그곳에 낀 이물질이 시원하게 나옴 3~4회 반복해 주면 깨끗해집니다.
- 한쪽 사랑니를 빼고 많이 불편하지 않게 음식을 먹을 때까지 약 20일 정도의 시간이 걸림.
양치 : 주사기는 필수!!
- 발치한 날에도 칫솔질은 무조건 해야 합니다.
불편하겠지만 입을 작게 벌리고 평소와 같이 양치를 해야 합니다. 발치한 부분은 이빨의 구석구석 깨끗이 닦을 수 없기 때문에 최대한 닦고 나머지는 가글을 통해 세균을 없애야 하고요. 특히 실밥을 뽑기 전까지는 아침저녁으로 가글이 필요하니 꼭 신경 쓰는 거 잊지 마세요. 그리고 칫솔모는 작은 것이 좋습니다. 그래야 조금이라도 안쪽까지 꼼꼼히 닦을 수 있거든요.


- 발치한 부분을 구석구석 닦을 때까지는 약 10일 정도 소요
그전에는 칫솔모가 잇몸을 누를 때 통증이 있어서 칫솔을 입 안 끝까지 넣기가 상당히 조심스럽습니다. 10일 정도가 지나면 비교적 자유롭게 칫솔질이 가능하니 10일 동안은 조심히 닦아주세요.
- 발치 후 약을 구매하면서 주사기 같이 구매
위의 식사 항목에서 발치한 부분에 어금니 크기만 한 구멍이 생기고 그곳에 이물질이 많이 낀다고 알려드렸는데요. 이물질을 가장 효율적으로 제거하는 방법이 바로 주사기를 사용하는 것입니다. 혀로도 빼보고 입 헹굼을 강하게 해 보았는데요. 잘 되지 않았습니다. 그런데 주사기를 이용해서 물을 뿌려주니 시원하게 빠졌습니다. 워터픽을 사용하시는 분들은 워터픽으로 하셔도 무방할 것 같습니다.



통증 : 발치 후 6~12시간까지 통증이 발생. 진통제로 통증 다스리기
- 지속시간 : 일반 사랑니는 약 6시간, 매복 사랑니는 약 10시간
발치 후 치과에서 나와 집에 가려고 버스를 탈 때 즈음 마취가 풀리기 시작하면서 통증이 시작되는데요. 어금니 안쪽의 깊은 곳에서 강하게 쥐어짜는 듯한 뻐근한 느낌이 꾸준히 지속되고. 처음에는 거즈를 물고 있기에 압박하는 느낌으로 인해 통증이 오기도 합니다.
- 강도 : 일반 사랑니가 "1"이라면 매복 사랑니는 두 배 "2"
마취가 풀리면서 통증이 시작되는데요. 통증이 지속될 때는 머리가 지끈거리며 참기가 힘듭니다. 너무 아프면 진통제를 바로 먹어서 통증을 줄이는 것도 도움이 됩니다.


일반 사랑니라면 상처를 지그시 누르는 듯한 통증이 지속되다가 진통제를 먹으면 바로 없어집니다. 생각보다 그리 강하지 않기 때문에 발치 후 침대에 가만히 앉아 있는 것도 상당히 도움이 되었습니다.
매복 사랑니를 발치했을 때는 통증이 상당히 강했습니다. 10시간 이상 지속되기도 했고 상처를 쥐어짜는듯한 계속되는 통증이 몰려와 약국에서 정말 아프면 먹으라는 진통제까지 먹었습니다. 하지만 진통제를 먹고 잠시 괜찮아졌다가도 2~3시간 이후 다시 통증이 시작돼서 이를 잡고 데굴데굴 구른다는 표현이 맞을 정도로 상당한 통증이 있었습니다.
붓기 : 아이스팩을 48시간 동안 꾸준히 해주세요
- 일반 사랑니 : 통통해졌네 /// 매복 사랑니 : 턱이 튀어나왔네
붓기를 가장 잘 관리하기 위해서는 아이스팩을 꼭 꾸준히 해주셔야 합니다. 일반적으로 놀다가 어디에 부딪혀서 부을 때 온찜질이 아닌 냉찜질을 하는 것도 같은 원리입니다. 그래야 붓기도 덜하고 회복도 빠릅니다. 찜질을 하지 않아도 일주일정도면 모두 괜찮아지지만 그 일주일 동안 확연한 차이가 있으니 꼭 첫 이틀간은 냉찜질은 꾸준히 해주세요.


일반 사랑니의 경우 약간 볼이 통통해졌다 싶을 정도로만 부었습니다. 발치 후 다음날과 그다음 날에만 눈에 띄고 4일 정도가 지나면 거의 가라앉았으며, 물론 완벽히 붓기가 없어질 때까지는 약 1주일이 걸렸지만 이틀이 지나면 부은 것을 잘 모를 정도로 괜찮아졌습니다.
매복 사랑니를 뺐을 때는 비유가 적절할지 모르겠지만 만화 마음의 소리 주인공처럼 턱이 삐죽 튀어나왔습니다. 2~3일 정도 턱에서 무언가 빠져나올 듯이 튀어나오고 오래갑니다. 필자의 경우 발치 후 5일 후에 입학식에 참석하여 사진을 찍었는데 이때 사진을 보면 턱이 부어있는 게 확실히 느껴질 정도입니다.



사랑니 발치 비용 : 두 개 발치 금액 총 132,400원 (약값 포함)
처음 갔던 날은 사랑니 발치 외에 CT와 엑스레이 비용이 추가되어 72,000원 납부하였고 약값은 6,100원이었습니다. 반대편 수술했던 날은 실밥제거 + 반대편 발치 비용으로 47,100원 납부하였고, 약값은 7,200원 나왔습니다. 약값이 차이가 나는 것은 주사기를 샀고 가글액이 변경되었더라고요.
이렇게 사랑니 발치 후기 및 주의사항의 모든 것에 대해 알려드렸습니다. 서두에서 말씀드린 대로 통증과 붓기가 있어 불편하긴 했지만 뽑고 나니 얼마나 개운한지 모르겠습니다. 지속적으로 염증이 생기거나 통증이 있다면 가만히 놔두지 마시고 사랑니 전문치과의원에서 빠르고 정확하게 발치하시길 바랍니다. 붓기와 통증에는 개인차가 있는 거 꼭 염두해 주세요
'생활정보' 카테고리의 다른 글
| 특례보금자리론 신청방법 (0) | 2023.03.16 |
|---|---|
| 청년도약계좌 조건 등 모두 알아보기 (0) | 2023.03.16 |
| 보조금 24 신청 방법 알아보기 (0) | 2023.02.15 |
| 튀르키예 터키 지진 상황 및 기부 방법 (0) | 2023.02.10 |
| 발렌타인데이 초콜릿 만들기 3가지 방법 추천 (0) | 2023.02.08 |

